Before & Afters
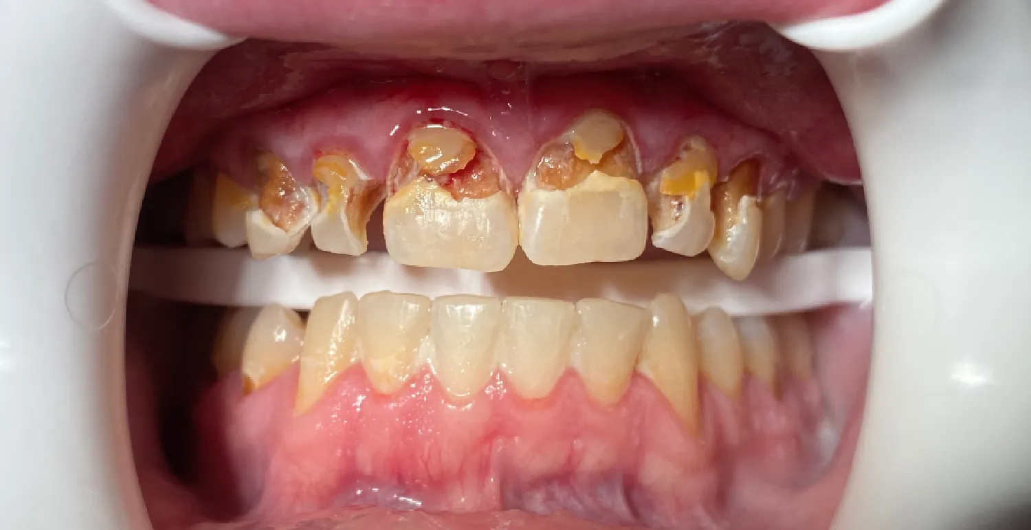
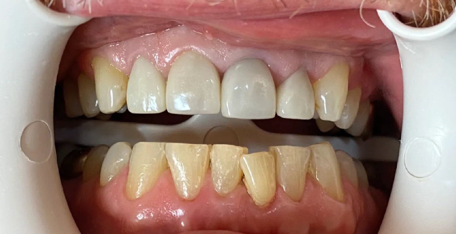
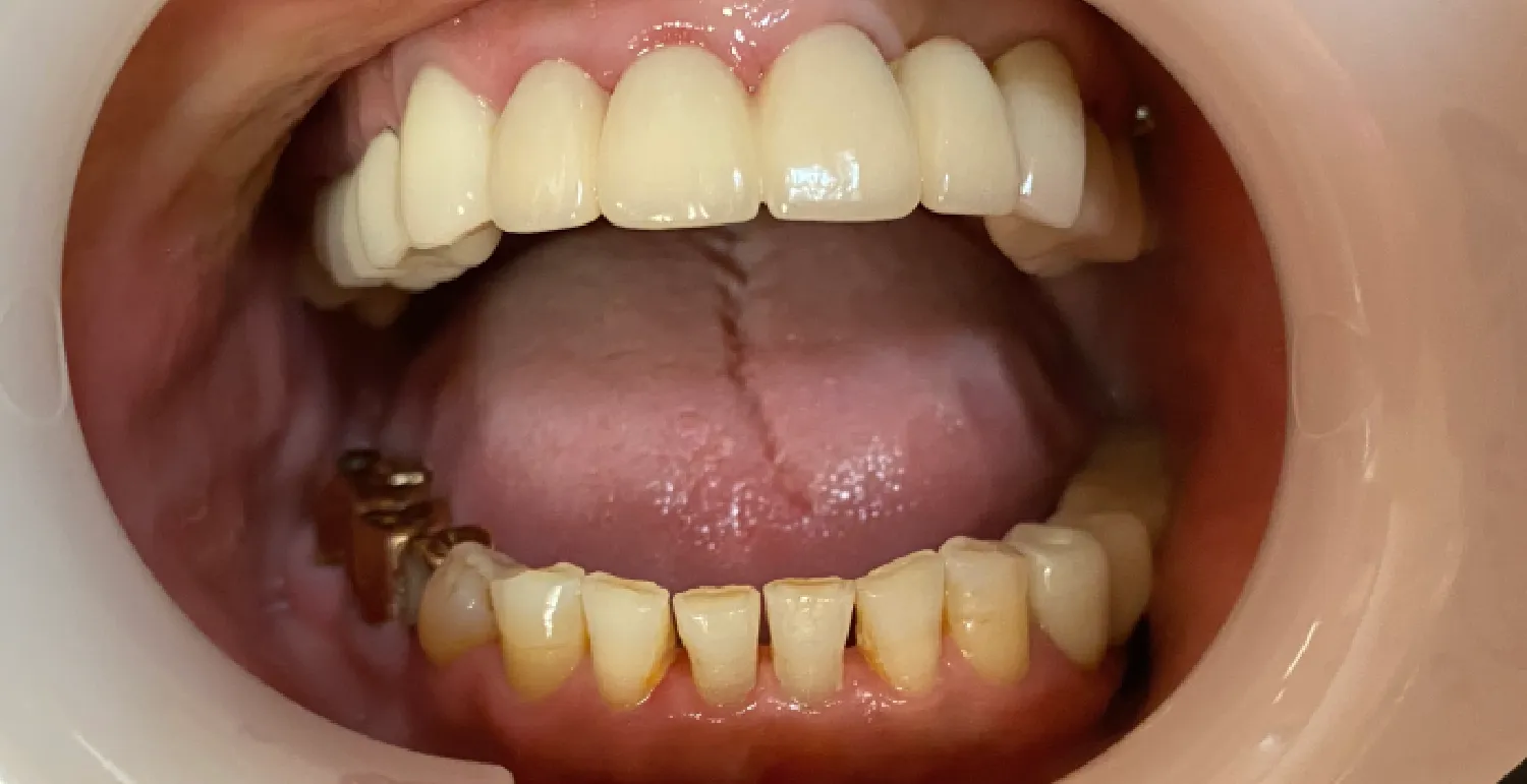
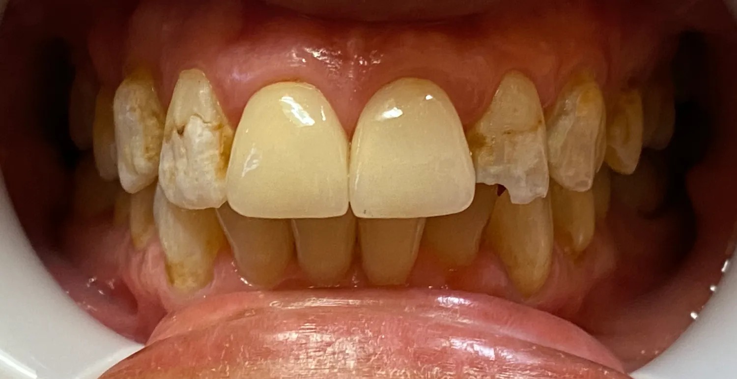
Not every smile transformation is just about teeth. At Pak Dental, we’ve seen how restoring confidence through compassionate, quality care can change lives. From small touch-ups to full smile upgrades, seeing our patients light up after treatment is the reason we do what we do.

Real results from patients who took that first step
We love helping our patients feel like the best version of themselves. Whether it's Invisalign for straighter smiles, custom crowns for broken teeth, or implant restorations for missing ones, these transformations speak for themselves. Every image below is more than a cosmetic change: it's a positive step toward health, confidence, and happiness.
Ready to love your smile too? We’re here to guide you every step of the way.








.webp)
.webp)
